Nucleus accumbens: motivatie, genot en leervermogen

De motivatie vinden om een doel te bereiken. Blijven denken dat iets nog steeds de moeite waard is, ook al heb je in het verleden meerdere malen gefaald. Het intense genot van een kus. Het genot dat je beleeft wanneer je je favoriete gerecht eet. Al deze dingen die zo beslissend en belangrijk zijn in je dagelijkse leven worden beheerd door de nucleus accumbens.
Dit gebied in je hersenen is niet alleen zonder meer heel erg interessant, maar ook buitengewoon uitzonderlijk.
De meeste mensen weten niet welke hersengebieden er allemaal bestaat totdat iemand die ze kennen, een ongeluk krijgt. Het is echter ook erg belangrijk om iets meer te leren over hoe je hersenen onder normale omstandigheden werken. Door de functie van elk hersengebied te begrijpen, kun je namelijk je eigen gedrag, motivatie en impulsen beter begrijpen.
Elke hersenhelft heeft een nucleus accumbens. Samen vormen ze je complexe beloningssysteem. Dankzij dit deel van de hersenen kun je genot ervaren, kun je nieuwe kennis opdoen en vind je de motivatie die je nodig hebt voor je dagelijkse leven.
De nucleus accumbens is die fascinerende hersenstructuur die de basis vormt van je genot- en beloningssysteem. Zonder deze structuur zou je kracht verliezen en de energie loslaten die je menselijk maakt. Alle mensen streven ernaar om te voldoen aan hun persoonlijke doelen, emotionele doelen, seksuele behoeften, hun verlangen naar kennis of andere motivators.

Wat is de nucleus accumbens?
De nucleus accumbens is een hersengebied waar maar weinig mensen van weten. Zelfs neurowetenschappers zitten nog steeds met veel vragen over dit hersengebied. We weten dat het als voornaamste taak heeft om het motivatiesysteem te activeren.
Naast het activeren van dat systeem, is het ook een drijfveer achter ons gedrag. Het zet die wilskracht, die vlaag van optimisme en die drang naar een overwinning om in gedragsreacties.
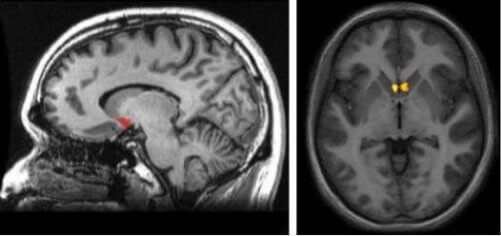
Nu vraag je je misschien af waar dit hersengebied zich bevindt. Visualiseer het subcorticale gebied (onder de cortex) op het verbindingspunt tussen de caudate nucleus, het putamen en het septum om het te conceptualiseren.
Een van de belangrijkste aspecten van de nucleus accumbens is de locatie, omdat het onderdeel is van een dopaminerge circuit in de hersenen. Dit is het zogenaamde mesolimbische circuit. Het heeft als taak om je te stimuleren wanneer je hersenen denken dat je prettige en bevredigende momenten ervaart.
Zoals we eerder ook al aangaven, gaan er in dit gebied nog een paar geheimen schuil die zelfs neurologen niet kunnen ontrafelen. Tot voor kort geloofden experts dat de nucleus accumbens alleen gekoppeld was aan bevredigende ervaringen.
Tegenwoordig weten we echter dat het ook verbonden is aan onaangename situaties. Wanneer je geconfronteerd wordt met iets dat je niet leuk vindt, ‘activeert’ de nucleus accumbens de motivatie om aan die situatie te ontsnappen.
Het speelt dus ook een cruciale rol in je drang om te overleven, omdat het je leidt naar de dingen waar jij baat bij hebt en weghoudt van de dingen die je zouden kunnen schaden.

Neurobiologie van de nucleus accumbens
Elk van de hersenhelften heeft zijn eigen nucleus accumbens. Op die manier bereikt het door dopamine beheerde beloningssysteem elk deel van de hersenen. Deze structuur maakt ook deel uit van de basale ganglia. Als zodanig is een van de belangrijkste kenmerken van de nucleus accumbens de mate waarin het verbonden is met andere delen van de hersenen.
De belangrijkste connectie die dit systeem heeft is, de connectie met het limbische systeem. Vergeet niet dat dit systeem uit veel verschillende structuren bestaat: de thalamus, de hypothalamus en de amygdala. Deze laatste is verantwoordelijk voor het reguleren van je emotionele wereld.
Laten we het dan nu hebben over hoe de nucleus accumbens deze belangrijke schakels daadwerkelijk tot stand brengt door middel van zijn geavanceerde anatomische structuur.
1. De schil
Dit is zonder twijfel het meest interessante deel van de nucleus accumbens. De schil brengt namelijk verbindingen tot stand met het limbisch systeem en met de frontale kwab. Dit deel werkt eigenlijk als een soort brug. Het ontvangt en verzendt informatie. Tegelijkertijd verkrijgt en reguleert het hoeveelheden dopamine, serotonine, glutamaat, enz.

2. De kern
Dit is het hart van de nucleus accumbens. Wat dit deel van de hersenen doet, is de motorische functie beheren via de verbinding met de basale ganglia, de substantia nigra en de motorische cortex.
Het meest interessante aan dit gebied is dat het de meeste emotioneel significante acties en bewegingen activeert. Dat wil zeggen, elke keer dat je gemotiveerd bent om van die bank af te komen om iets te doen, zit de nucleus accumbens erachter.
Wat zijn de functies van de nucleus accumbens?
We weten al dat de nucleus accumbens dingen als motivatie, genot en triomf beheert en dingen in beweging zet. Het heeft echter ook veel andere functies:
- Het helpt ons bij het maken van plannen. Door de verbinding met de hersenschors helpt het ons om doelen te stellen en routes uit te stippelen.
- Deze structuur helpt ons situaties te evalueren. De nucleus accumbens is ook gekoppeld aan je emotionele geheugen. Als zodanig helpt het je bepaalde situaties te analyseren om bepaalde veranderingen aan te brengen, je inspanningen te richten op een doel of te beslissen of het het beste is om bepaalde uitdagingen of doelen uit te stellen.
- Het helpt je om nieuwe informatie op te doen en te integreren. Motivatie en leren gaan hand in hand. In feite zou het geen zin hebben om dingen te begrijpen, kennis in je hersenen te integreren en dingen te onthouden zonder de emotionele component waar de nucleus accumbens zich mee bemoeit.
- Seks en voeding. Deze structuur is niet de enige hersenstructuur die verbonden is aan genot. Het speelt echter een sleutelrol (zoals we al weten) in motivatie en het neurochemische beloningssysteem. Dit komt door het feit dat het zich in een dopaminerge circuit bevindt. Onthoud dat dopamine een neurotransmitter is die betrokken is bij genot, geluk en verslaving.
Kortom, onze hersenen blijven ons verbazen. Dit orgaan is een perfecte machine waarvan elk onderdeel een belangrijke functie heeft. Toch is geen enkel onderdeel in staat om op zichzelf te functioneren.
Alle delen van de hersenen zijn met elkaar verbonden en zijn van elkaar afhankelijk om in harmonie met elkaar samen te werken. De nucleus accumbens is een geweldig onderdeel van deze fascinerende machine.
Deze tekst wordt alleen voor informatieve doeleinden aangeboden en vervangt niet het consult bij een professional. Bij twijfel, raadpleeg uw specialist.







