Microbioom uit de darmen in de hersenen

Tijdens de laatste jaarlijkse bijeenkomst van de Society for Neuroscience aan de Universiteit van Alabama in Birmingham, Verenigde Staten, presenteerden onderzoekers een rapport dat liet zien dat er darmbacteriën in verschillende regio’s van de hersenen leven. Dit lijkt het microbioom in de hersenen te zijn.
Deze ontdekking is zowel fascinerend als intimiderend. Er is nog steeds geen verklaring voor de manier waarop de bacteriën de hersenen hebben bereikt. Ook weet men niet of ze gezond of schadelijk zijn. Deskundigen geloven zelfs dat ze de stemming en misschien ook wel de persoonlijkheid kunnen beïnvloeden.
Wat is het microbioom?
Het microbioom is het geheel van micro-organismen die in het lichaam leven. Het gedeelte dat zich in de darmen bevindt, wordt ook wel darmflora genoemd.
Er zijn ongeveer honderd miljoen verschillende soorten bacteriën. Deze bestaan op hun beurt weer uit meer dan drie miljoen genen. Van al deze genen heeft de mens slechts een derde met anderen gemeen. De rest is voor iedereen exclusief. Het microbioom is dus een belangrijk onderdeel van de persoonlijke identiteit. Enkele van de belangrijkste functies zijn bijvoorbeeld:
- regulering van het immuunsysteem
- absorptie van voedingsstoffen
- controle van externe pathogenen
Elke verandering in de darmflora kan auto-immuunziekten, allergieën of infecties veroorzaken. Een aantal wetenschappers hebben het ook in verband gebracht met Alzheimer en Parkinson. Aan de andere kant kunnen onevenwichtigheden in dit microbioom het volgende veroorzaken:
- de aanmaak van endotoxinen
- hoge niveaus van oxidatie
- de accumulatie van buikvet
Bovendien veroorzaakt een chronische ontsteking ook hart- en vaatziekten en diabetes. Hoewel er een grootschalige angst bestaat voor microben en bacteriën, is de waarheid is dat je niet zonder kunt leven. Ondanks het feit dat je je er misschien niet van bewust bent, leven er miljarden levende wezens samen in je lichaam.

Het microbioom in de hersenen
Wetenschappers beginnen zich nu echter af te vragen hoe deze bacteriën in de hersenen terechtkomen. De hersenen worden namelijk beschermd door de bloed-hersenbarrière.
De bloed-hersenbarrière is een systeem dat de hersenen beschermt tegen het binnendringen van vreemde stoffen. Het laat de doorgang van water, oplosbare moleculen in lipiden en bepaalde gassen toe.
Het laat ook de selectieve doorgang van aminozuren en andere moleculen toe. De bacteriën die in de hersenen worden gevonden, zijn grotendeels afkomstig uit de darmen.
Het zijn gliacellen die neuronen en astrocyten ondersteunen. Ook voorkomen ze het binnendringen van neurotoxinen en andere stoffen in de hersenen.
Deze schadelijke stoffen kunnen ontstekingen veroorzaken met zeer negatieve en zelfs dodelijke gevolgen, wanneer ze op de een of andere manier door de barrière kunnen dringen. Het interessante is dat astrocyten de favoriete plek lijken te zijn voor deze darmbacteriën om in de hersenen te leven.
Onderzoekers hebben verklaard dat de bacteriën zich door de zenuwen in de darmen, de bloed-hersenbarrière of de neus kunnen verplaatsen. De ware oorzaak is echter nog steeds onbekend. Er is dus nog veel te onderzoeken over dit mogelijke hersenmicrobioom.

Het onderzoek
Dr. Rosalinda Roberts en haar team van de afdeling psychiatrie en gedragsneurobiologie van de Universiteit van Alabama in Birmingham, Verenigde Staten, zijn verantwoordelijk voor deze bevindingen. Zij bestudeerden de hersenen van 34 mensen.
De helft van hen waren gezonde proefpersonen en de andere helft leed aan schizofrenie. Verder voerden ze een parallel onderzoek uit met muizen, om uit te sluiten dat de bacterie alleen na overlijden verscheen of dat er een fout zou kunnen optreden als gevolg van besmetting.
In beide onderzoeken observeerden wetenschappers de aanwezigheid van bacteriën in menselijke en muizenhersenen in niet-besmettelijke of traumatische situaties.
Zij vonden deze bacteriën in verscheidene gebieden van de hersenen. Vooral in de substantia nigra, de hippocampus en de prefrontale cortex, en heel weinig in de visuele cortex. Bovendien vertoonde geen van de onderzochte hersenen een ontsteking.
Deze resultaten hebben de deur opengezet voor speculatie en nieuw onderzoek naar het microbioom in de hersenen. Op dit moment wordt de mogelijkheid dat deze microben zijn gerelateerd aan gedrag, stemming, en bepaalde neurologische ziekten overwogen.
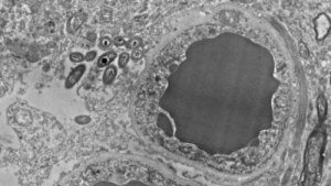
Uitgelichte afbeelding met dank aan Rosalinda Roberts, Courtney Walker, en Charlene Farmer.
Tijdens de laatste jaarlijkse bijeenkomst van de Society for Neuroscience aan de Universiteit van Alabama in Birmingham, Verenigde Staten, presenteerden onderzoekers een rapport dat liet zien dat er darmbacteriën in verschillende regio’s van de hersenen leven. Dit lijkt het microbioom in de hersenen te zijn.
Deze ontdekking is zowel fascinerend als intimiderend. Er is nog steeds geen verklaring voor de manier waarop de bacteriën de hersenen hebben bereikt. Ook weet men niet of ze gezond of schadelijk zijn. Deskundigen geloven zelfs dat ze de stemming en misschien ook wel de persoonlijkheid kunnen beïnvloeden.
Wat is het microbioom?
Het microbioom is het geheel van micro-organismen die in het lichaam leven. Het gedeelte dat zich in de darmen bevindt, wordt ook wel darmflora genoemd.
Er zijn ongeveer honderd miljoen verschillende soorten bacteriën. Deze bestaan op hun beurt weer uit meer dan drie miljoen genen. Van al deze genen heeft de mens slechts een derde met anderen gemeen. De rest is voor iedereen exclusief. Het microbioom is dus een belangrijk onderdeel van de persoonlijke identiteit. Enkele van de belangrijkste functies zijn bijvoorbeeld:
- regulering van het immuunsysteem
- absorptie van voedingsstoffen
- controle van externe pathogenen
Elke verandering in de darmflora kan auto-immuunziekten, allergieën of infecties veroorzaken. Een aantal wetenschappers hebben het ook in verband gebracht met Alzheimer en Parkinson. Aan de andere kant kunnen onevenwichtigheden in dit microbioom het volgende veroorzaken:
- de aanmaak van endotoxinen
- hoge niveaus van oxidatie
- de accumulatie van buikvet
Bovendien veroorzaakt een chronische ontsteking ook hart- en vaatziekten en diabetes. Hoewel er een grootschalige angst bestaat voor microben en bacteriën, is de waarheid is dat je niet zonder kunt leven. Ondanks het feit dat je je er misschien niet van bewust bent, leven er miljarden levende wezens samen in je lichaam.

Het microbioom in de hersenen
Wetenschappers beginnen zich nu echter af te vragen hoe deze bacteriën in de hersenen terechtkomen. De hersenen worden namelijk beschermd door de bloed-hersenbarrière.
De bloed-hersenbarrière is een systeem dat de hersenen beschermt tegen het binnendringen van vreemde stoffen. Het laat de doorgang van water, oplosbare moleculen in lipiden en bepaalde gassen toe.
Het laat ook de selectieve doorgang van aminozuren en andere moleculen toe. De bacteriën die in de hersenen worden gevonden, zijn grotendeels afkomstig uit de darmen.
Het zijn gliacellen die neuronen en astrocyten ondersteunen. Ook voorkomen ze het binnendringen van neurotoxinen en andere stoffen in de hersenen.
Deze schadelijke stoffen kunnen ontstekingen veroorzaken met zeer negatieve en zelfs dodelijke gevolgen, wanneer ze op de een of andere manier door de barrière kunnen dringen. Het interessante is dat astrocyten de favoriete plek lijken te zijn voor deze darmbacteriën om in de hersenen te leven.
Onderzoekers hebben verklaard dat de bacteriën zich door de zenuwen in de darmen, de bloed-hersenbarrière of de neus kunnen verplaatsen. De ware oorzaak is echter nog steeds onbekend. Er is dus nog veel te onderzoeken over dit mogelijke hersenmicrobioom.

Het onderzoek
Dr. Rosalinda Roberts en haar team van de afdeling psychiatrie en gedragsneurobiologie van de Universiteit van Alabama in Birmingham, Verenigde Staten, zijn verantwoordelijk voor deze bevindingen. Zij bestudeerden de hersenen van 34 mensen.
De helft van hen waren gezonde proefpersonen en de andere helft leed aan schizofrenie. Verder voerden ze een parallel onderzoek uit met muizen, om uit te sluiten dat de bacterie alleen na overlijden verscheen of dat er een fout zou kunnen optreden als gevolg van besmetting.
In beide onderzoeken observeerden wetenschappers de aanwezigheid van bacteriën in menselijke en muizenhersenen in niet-besmettelijke of traumatische situaties.
Zij vonden deze bacteriën in verscheidene gebieden van de hersenen. Vooral in de substantia nigra, de hippocampus en de prefrontale cortex, en heel weinig in de visuele cortex. Bovendien vertoonde geen van de onderzochte hersenen een ontsteking.
Deze resultaten hebben de deur opengezet voor speculatie en nieuw onderzoek naar het microbioom in de hersenen. Op dit moment wordt de mogelijkheid dat deze microben zijn gerelateerd aan gedrag, stemming, en bepaalde neurologische ziekten overwogen.
Uitgelichte afbeelding met dank aan Rosalinda Roberts, Courtney Walker, en Charlene Farmer.
Alle siterte kilder ble grundig gjennomgått av teamet vårt for å sikre deres kvalitet, pålitelighet, aktualitet og validitet. Bibliografien i denne artikkelen ble betraktet som pålitelig og av akademisk eller vitenskapelig nøyaktighet.
- Barksdale KA, Perez-Costas E, Gandy JC, Melendez-Ferro M, Roberts RC*, Bijur GN* (2010) Mitochondrial viability in mouse and human postmortem brain. FASEB J, 24(9):3590-3599
- Do gut bacteria make a second home in our brains? (2018, November 9). Retrieved March 4, 2019, from https://www.sciencemag.org/news/2018/11/do-gut-bacteria-make-second-home-our-brains
Deze tekst wordt alleen voor informatieve doeleinden aangeboden en vervangt niet het consult bij een professional. Bij twijfel, raadpleeg uw specialist.







